「入れ歯が動いてしまって、しっかり噛めない」
「食事のたびにズレてしまう」
このようなお悩みで来院された患者さんの症例をご紹介します。
今回の患者さんは、保存が難しい歯を抜歯された後、下顎は歯が1本もない状態(無歯顎)となり、「入れ歯(義歯)が合わず動いてしまう」「食事のたびにズレてしまう」といった問題を抱えておられました。「しっかり噛めるようになりたい」というご希望がある一方で、インプラントなどの外科的処置は避けたいというお考えをお持ちでした。
また、上顎の前歯は、もともと取り外しの必要がない固定式のブリッジで治療されていました。しかし、そのブリッジを支えていたご自身の歯に、歯ぐきの下にまで及ぶ虫歯が認められ、さらに動揺もみられたため、抜歯適応に近い、非常に予後の厳しい状態でした。そのため、これまでと同様にブリッジを用いる治療は難しく、“これまでと同じ治し方はできない”という状況に直面されていました。
歯科治療は、ある日突然、大きな変化を伴うことがあります。
これまで当たり前のように使えていた歯が、
・「残せないかもしれない」
・「これまでと同じ治療が選べない」
そう伝えられたとき、すぐに受け入れられる方は多くありません。特に今回のように、治療方針の大きな変更が必要になるケースでは、
・「今まで通りに生活できるのか」
・「見た目はどうなるのか」
といった不安は、より大きくなります。
実際に患者さんも、「できればこれまでと同じようにブリッジで治したい」というお気持ちを強くお持ちでした。
当院では、こうしたお気持ちに配慮しながら、「どのような選択肢があるのか」「なぜその治療が必要なのか」を丁寧にご説明し、患者さんにご納得いただいたうえで治療を進めていくことを大切にしています。治療の経過について、以下にご紹介いたします。
Before/After
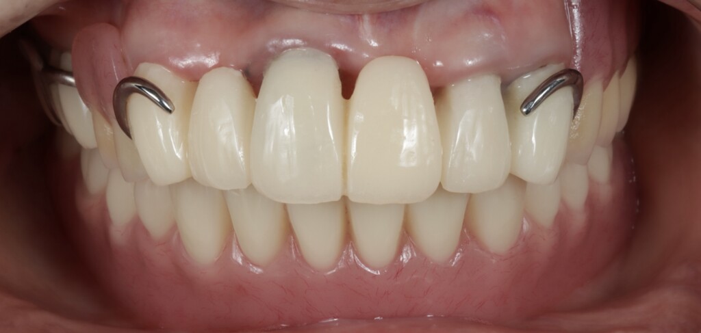
治療前

最終精密義歯

治療後

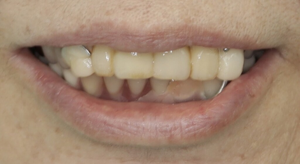
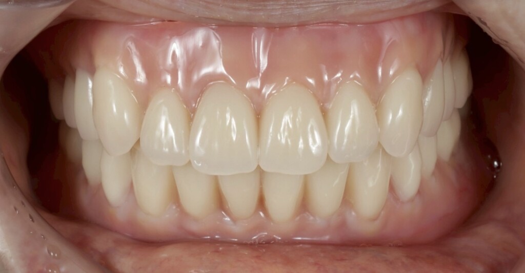
口元の様子

治療前

治療前の口元

最終精密義歯仮合わせ時

治療後の口元
治療前の状態
主訴
保存困難と診断された下顎残存歯を抜歯後、義歯が動いて噛めない。
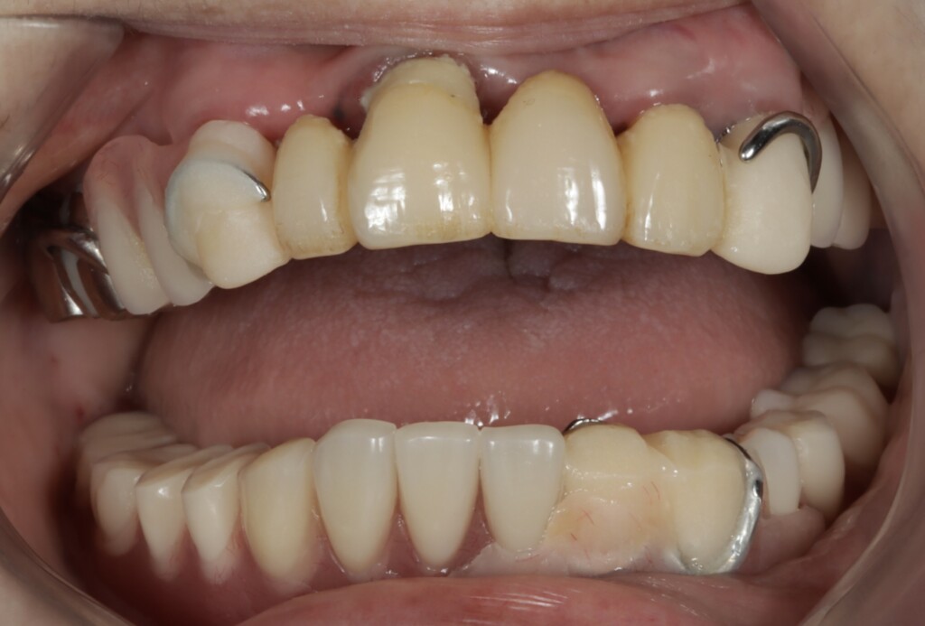
口腔内の状態

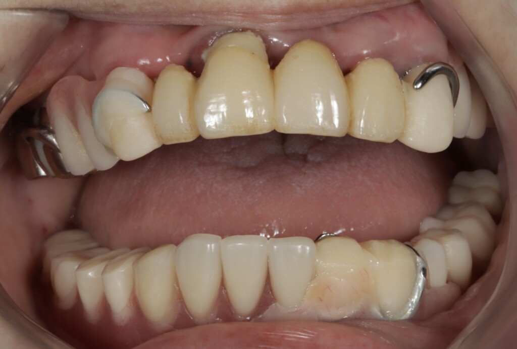
写真1:口腔内の正面観
*下顎は部分入れ歯を修理した総入れ歯が装着されている

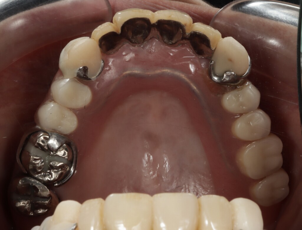
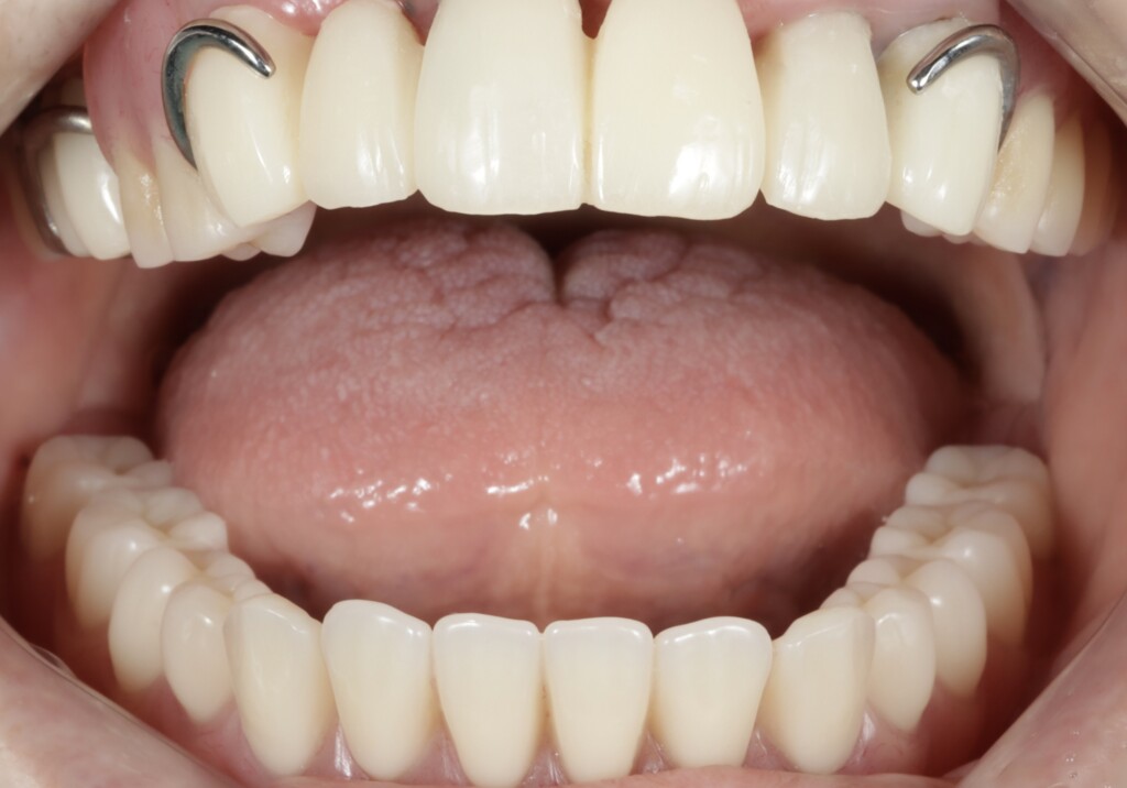
写真2:乱れた噛み合わせの平面

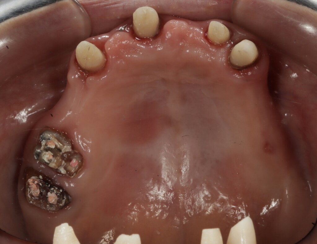
写真3:下顎の歯ぐきの状態

写真4:上顎の状態
問題点
①下顎義歯が歯ぐきの形や機能に合っていないため動いてしまう
主訴に直結する問題です。
写真1・2の下顎の義歯は、もともと部分入れ歯として使用されていたものを、抜歯に伴い修理し、総入れ歯として使用されていました。総入れ歯と部分入れ歯は同じ「入れ歯」ですが、設計のコンセプトは大きく異なります。
総入れ歯は、単に歯ぐきの形に合っているだけでは安定しません。つかむ歯が周囲に存在しないため、安定して使用するためにはいくつかの重要なポイントがあります。
まず一つ目は、入れ歯のフチの形(外形)を適切に整え、空気が入りにくい状態をつくること(辺縁封鎖)です。これは、入れ歯が歯ぐきに吸い付くような状態をつくるために非常に重要です。たとえば、お風呂の壁に吸盤をつけたとき、しっかり密着していると外れにくいですが、少しでも隙間があるとすぐに落ちてしまうのと同じです。
さらにもう一つ重要なのが、噛んだときにも入れ歯がズレないようにするための噛み合わせの設計(両側でバランスよく当たる咬合)です。しっかり噛もうとしたときに片側だけに力がかかると、入れ歯は浮き上がったりズレたりしてしまいます。そのため、左右バランスよく力が分散されるように設計することで、食事中でも安定して使用できるようになります。
今回の義歯は、もともと部分入れ歯として作製されたものを修理して使用していたため、こうした「総入れ歯としての安定に必要な設計」が十分ではありませんでした。その結果、食事のたびに動いてしまう状態につながっていたと考えられます。
総入れ歯は、「形」「フチ」「噛み合わせ」が揃って初めて安定する装置です。
②上顎の残存歯に虫歯と歯ぐきの炎症が認められ、支える力が低下している
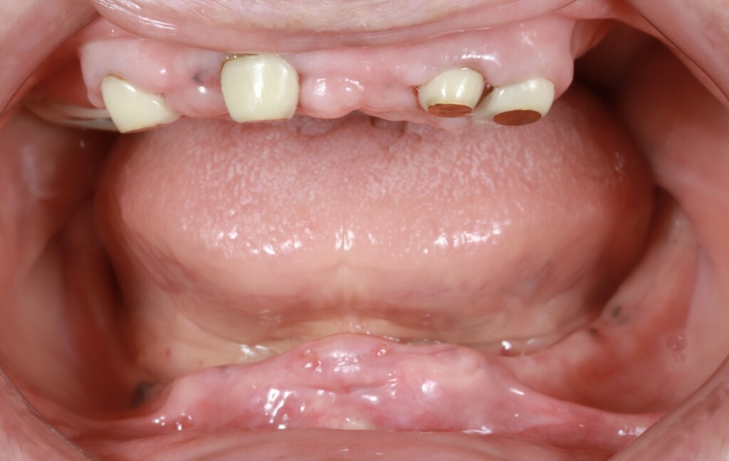
上顎は、前歯部にブリッジ、右上奥歯には銀の被せ物が装着されている状態でした。しかし、それらを支えているご自身の歯との境目から虫歯が進行しており、残っている歯のほぼすべてに問題が認められました。特に右上の前歯は、歯ぐきの下にまで虫歯が進行しており、汚れが溜まりやすい状態となっていたため、歯ぐきにも強い炎症がみられました。また、その他の歯についても、虫歯ではない健全な歯質が歯ぐきの縁付近までしか残っていない状態で、歯としての支える力が大きく低下していました。
③上下の入れ歯の噛み合わせの平面が著しく乱れていて、歯にかかる力のバランスが崩れている
①とも関連しますが、上下の入れ歯の噛み合わせの平面が乱れていると、噛んだときに一部だけが先に強く当たり、力のかかり方が偏ってしまいます。その結果、入れ歯がテコのように動き、反対側が浮き上がるなど、不安定な状態になります。これは、テーブルの脚の高さが揃っていないとガタつくのと同じで、噛み合わせのバランスが崩れることで、入れ歯全体の安定性が大きく低下してしまうのです。
患者さんの治療に対する希望
- インプラントなどの外科処置は避けてほしい
- 上の前歯は今と同じようにブリッジで治してほしい
治療経過

治療前

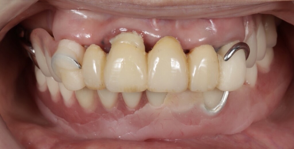
装着された仮歯と仮の入れ歯

乱れた噛み合わせの平面

修正して整えた噛み合わせの平面
いきなり最終的な歯や入れ歯を作るのではなく、段階的に治療を進めていきました。
まずは仮歯と仮の入れ歯を用いて、乱れていた見た目や噛み合わせの平面を整えました。そのうえで、その状態が実際にお口の中で無理なく機能するか、違和感なく順応できるかを確認し、残っている歯の状態を評価しました。さらに、ブリッジやクラウンによる修復が可能かどうかについても、慎重に判断を行いました。残っている歯はいずれも神経の処置がされている歯でしたが、根管内の状態に問題が認められたため、再度根管治療を行っています。具体的には、仮歯を外して根管治療を行い、治療後に土台を立て、再び仮歯を仮止めで装着する、という工程を繰り返し行いました。
患者さんから見ると、仮歯の状態が長く続いているように感じられるため、治療の進行が分かりにくく、不安を感じやすい時期でもあります。実際に今回の患者さんからも、「この時期が一番不安だった」と後日お話をいただきました。

仮歯を外した状態(上顎前歯は土台が立っている)

上顎前歯部は健全歯質が縁上にほとんどない

右上奥歯も健全歯質が少ない
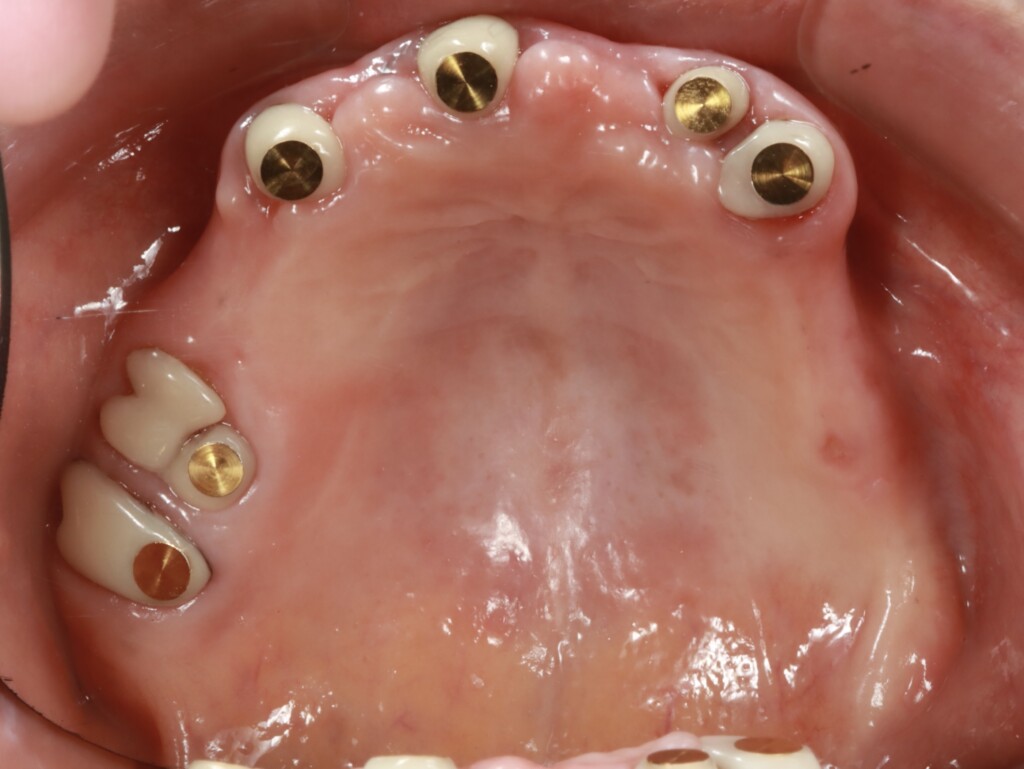
上顎の残っている歯は、これまでブリッジや被せもので連結されていたため分かりにくい状態でしたが、詳しく評価を行ったところ、左上の犬歯(糸切り歯)を除き、いずれの歯にも動揺が認められました。また、骨に埋まっている部分(支持組織)も少なく、歯を支える力が低下している状態でした。この点については、治療開始前の検査の段階である程度予測はできていましたが、実際には歯ぐきより上に十分な健全歯質も残っていない状況でした。このような歯に対して、ブリッジやクラウンのように歯へ大きな負担がかかる治療方法を選択し、さらに部分入れ歯の留め金をかける設計とした場合、負担が集中し、状態の悪化を招く可能性があります。そのため今回は、支える力が低下している歯への負担をできる限り抑える設計として、磁性アタッチメントを用いた入れ歯をご提案しました。

磁性アタッチメントが装着された状態(上顎)

仮歯と仮入れ歯を修理して作った磁石で安定する仮入れ歯
磁性アタッチメントは、歯に引っかけて入れ歯を固定するのではなく、磁石の力でくっつけることで入れ歯を安定させる仕組みです。そのため、硬いものを噛むなど、食事中に横から無理な力がかかった場合でも、歯に負担がかかり続けるのではなく、自然に外れることで力を逃がす構造になっています。一方で、強く固定する構造ではないため、安定感には一定の限界があります。過度な力がかかった際には外れて歯を守る仕組みであるため、状況によっては外れやすいと感じることがあります。また、磁性アタッチメントは、歯の側に装着する「磁性金属(キーパー)」と、義歯の内側に組み込まれる「磁石構造体(マグネット)」で構成されています。磁性金属とは、普段は磁石ではありませんが、磁石が近づくと引き寄せられる性質をもつ金属です。義歯に内蔵される磁石は医療用として安全性が確認されており、お口の中で長期間使用することを前提に設計されています。そのため、通常の使用で体に影響が出ることはほとんどありません。ただし、MRI検査の際には、磁石の影響により、あごや顔まわり(口元付近)の画像が見えにくくなる可能性があります。そのため、事前に医師や検査スタッフへ申告が必要です。検査部位によっては画像に影響が出る場合があるため、状況に応じて義歯の取り外しを検討することがあります。
これらの点については、ご自身の歯の状態もあり、ご説明の際に比較的スムーズにご理解いただけました。
しかしながら、やはり
「入れ歯になると、外したときに歯がないように見えてしまうのではないか」
という不安が、なかなか拭えないご様子でした。
この不安は、実際にとても多くの方が感じられるものです。これまで固定式の治療を受けてこられた方ほど、
「できれば人に見られたくない」
「見た目が変わってしまうのが怖い」
そう感じられるのは、ごく自然なことだと思います。
ただ実際には、入れ歯を外す場面というのは、ご自宅でのケアのときや就寝前など、限られた時間がほとんどです。そのため、日常生活の中で人前で歯がない状態を見られる機会は、ほとんどありません。また、入れ歯は見た目にも配慮して製作しますので、装着しているときは自然な口元を保つことができます。さらに、取り外しができることで清掃がしやすくなり、歯ぐきや残っている歯を長く健康に保つことにもつながります。このようにお話を重ねていく中で、不安も少しずつ和らぎ、最終的には治療の目的や方法についてご納得いただいたうえで、上顎は磁性アタッチメントを用いた精密義歯を選択されました。何より、基本的には外れにくい精密義歯に磁性アタッチメントの維持が加わることで、非常に高い安定性が期待できるという点が、ご決断の理由の一つとなりました。


下顎は無歯顎の状態で、歯ぐきの痩せも認められたため、入れ歯の安定が得にくい条件でした。しかし上顎と同様に、精密義歯を製作することで、適合性と安定性の向上を図りました。
歯ぐきは歯や骨のような硬い組織ではなく、力が加わるとおよそ2mm程度沈み込みます。そのため、入れ歯は前後・左右に傾きやすくなり、外れやすさや噛みにくさの原因となります。
精密な入れ歯を製作するうえでは、この「歯ぐきの沈み込み(粘膜被圧)」を考慮し、実際に噛んだときに近い状態を再現することが重要です。そこで今回は、機能時に近い被圧状態を再現するために「閉口機能印象」を行いました。口を閉じて噛む力が加わった状態で型取りを行うことで、使用時に近い粘膜の状態を反映でき、結果として外れにくく安定した入れ歯の製作につながります。

閉口機能印象(上顎)

閉口機能印象(下顎)

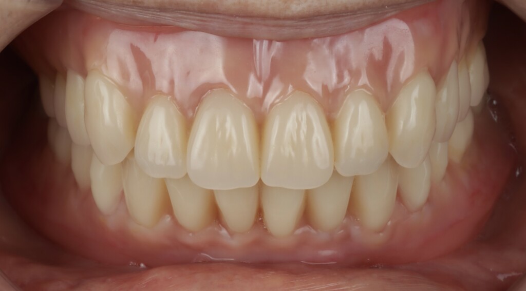
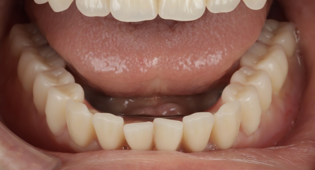
歯肉の質感まで再現された最終精密義歯

天然歯と見分けがつかない最終精密義歯
インプラントなしでも、ここまで動かない総義歯
- 真っ直ぐ噛んでも、横に歯を擦るように動かしても安定していることが左の動画で確認することができます






このように、
「いきなり完成させる」のではなく「仮の状態で確認しながら進める」
というプロセスを大切にすることで、見た目だけでなく、しっかり噛める機能の回復を目指しました。
最終的には、入れ歯の安定性が向上し、食事の際のズレや不安も軽減され、日常生活における「噛める」という機能を取り戻すことができました。
患者さんからは、
「不安な時期もあったが、今は治療して本当に良かった。今までで一番快適な入れ歯です」
というお言葉をいただき、大変嬉しく思っております。
入れ歯は「動くもの」「噛めないもの」と思われがちですが、設計や治療の進め方によって、その機能は大きく変わります。
・入れ歯が合わない
・動いてしまう
・しっかり噛めない
・ブリッジができないと言われた
このようなお悩みをお持ちの方でも、インプラントに頼らず改善できる可能性があります。
入れ歯は「仕方なく使うもの」ではなく、きちんと向き合えば「しっかり噛めるもの」に変えることができます。
同じようなお悩みをお持ちの方は、ぜひ一度ご相談ください。
| 年代性別 | 70代 女性 |
| 治療期間 | 約1年(最終精密義歯は約2ヶ月、6回) |
| 費用 | 自由診療総額 ¥1,914,000(税込) 仮義歯 ¥55,000×2床=¥110,000 仮歯 ¥5,500×8本=¥44,000 精密義歯(総義歯) ¥550,000×2床=¥1,100,000 磁性アタッチメント ¥110,000×6本=¥660,000 それ以外は保険内治療 |
| リスク・副作用 | 各治療には以下のようなリスク・副作用があります。症状や個人差により程度は異なります。 ・支えとなる歯に一定の負担がかかる可能性があります(ブリッジ・クラウンより負担は軽減) ・補綴治療では、歯の切削や素材によるアレルギー、破損・脱離の可能性があります ・骨や歯周組織の状態、全身状態により、治療の適応や成功率に差が生じる場合があります ・生活習慣(喫煙・糖尿病など)やセルフケア状況により、治療結果や予後に影響が出ることがあります ・義歯使用中に痛みが出ることがあり、調整が必要になる ・顎の形の変化により、入れ歯の内側を調整して合わせ直す必要が出てくることがある ・MRI検査時に画像へ影響が出る可能性があるため、事前に申告が必要 ※治療はすべて個々の状態に応じて行うものであり、同様の結果を保証するものではありません。 |
監修者情報

経歴
京都教育大学附属高等学校卒業
大阪大学歯学部卒業
大阪大学大学院歯学研究科博士課程修了
医療法人健昌会なかたに歯科クリニック勤務
T’s歯科クリニック院長
藤田歯科副院長
